Dirección y horario
Av. Prolongación César Vallejo
Mz. Í Lt. 2 - Urb. El Galeno - Oficina 203 y 204

Lun-Sáb 08am-8pm, Dom Cerrado
Email
info@oralview.pe

Imagenología oral y maxilofacial de alta calidad

Radiografías digitales, estudios 3D (CBCT) y servicios especializados para un diagnóstico preciso, con equipos de última generación.

Radiología 2D

Radiografía panorámica digital

La radiografía panorámica es una prueba de imagen que muestra, en una sola toma, todas las estructuras de la boca, ofreciendo una visión global de la salud bucodental. Indispensable en varias especialidades dentales, como implantología, ortodoncia, cirugía, periodoncia y endodoncia.

Radiografía cefalométrica (lateral con trazado)

Imagen lateral de la cabeza con trazados cefalométricos que permite evaluar dientes, mandíbula y estructuras craneofaciales para diagnóstico y planificación de tratamientos dentales y ortodónticos.

Radiografía posteroanterior (PA) con trazado

Permite la evaluación precisa de la simetría facial, la relación entre las estructuras óseas y la posición de los arcos dentales.

Radiografía postero anterior de cráneo

Técnica radiográfica utilizada para evaluar asimetrías, traumatismos y patologías craneofaciales.

Radiografía de Waters

Técnica radiográfica extraoral utilizada para evaluar los senos paranasales y estructuras faciales, especialmente el piso de la órbita y el reborde infraorbitario.

Radiografía carpal digital

Estudio de rayos X de la mano y muñeca utilizado principalmente para evaluar la edad ósea y el desarrollo esquelético de un individuo.

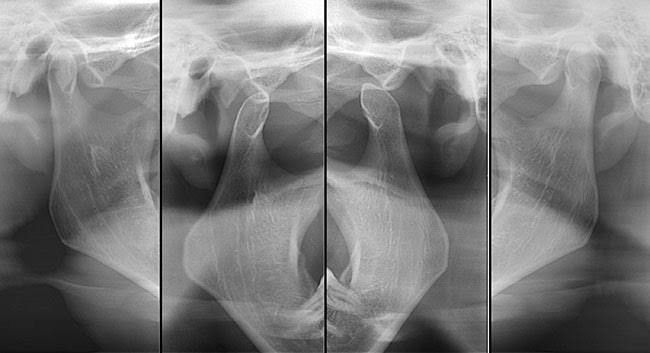
Radiografía A.T.M. digital

Técnica radiográfica que permite diagnosticar y tratar trastornos de la articulación temporomandibular.

Radiografías periapicales

Estudio radiográfico de una o varias piezas dentales y sus estructuras adyacentes para diagnóstico endodóntico y periodontal.

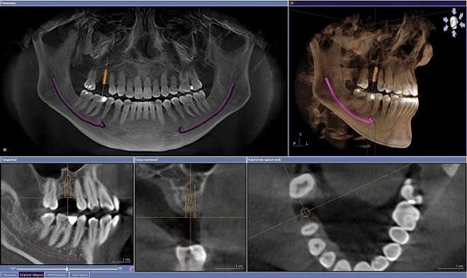
Estudios Tomográficos 3D (Cone Beam)

Tomografía computarizada con haz cónico

Es un examen de imagen tridimensional desarrollado especialmente para odontología y zonas faciales.

Estudio 3D para implantología

Esencial para la planificación de implantes, ya que proporciona imágenes tridimensionales detalladas que ayudan a los odontólogos a evaluar la estructura ósea y a planificar el procedimiento con precisión.

Estudio 3D tercer molar pre-quirúrgico

Evalúa la posición y las complicaciones asociadas con los terceros molares, especialmente en casos de impactación.

Estudio 3D senos maxilares

Técnica de imagen avanzada que permite visualizar detalladamente las estructuras óseas y tejidos de la región maxilofacial.

Estudio 3D pieza dentaria retenida pre-quirúrgico

Herramienta esencial para diagnosticar y evaluar dientes retenidos, permitiendo una visualización precisa de su posición y relación con estructuras adyacentes.

Estudio 3D para endodoncia

Estudio tomográfico de haz cónico para evaluación del sistema de conductos y estructuras perirradiculares.

Estudio 3D de maxilares

Visualización tridimensional de los maxilares para planificación quirúrgica y diagnóstica.

Estudio 3D A.T.M.

Estudio tomográfico 3D de la articulación temporomandibular para diagnóstico y planificación.

Otros Servicios

Fotografías intra y extraorales

Registro fotográfico clínico intraoral y extraoral para documentación y planificación de tratamientos.

Escaneo de modelos de estudio

Digitalización de modelos de estudio para planificación digital y archivado.